Se ha probado la eficacia del tratamiento mediante implantes de oro periarticulares para afecciones inflamatorias y degenerativas (artrosis). La mejoría clínica se evidencia en el postoperatoprio inmediato, y la recuperación sintomática y funcional aumenta con el paso del tiempo, siendo muy manifiesto a partir de los 45 días, pero hay que esperar más tiempo para que las imágenes radiográficas se puedan objetivar, unos 18 meses, necesarios para observar un aumento del cartílago articular.
El 10/10/2014 se intervino J.C de 53 años de edad con una necrosis de condilo femoral interno. Desde hacía unos meses realizaba tratamiento de R.F., AINES y marcha con muletas para no efectuar carga de peso con la rodilla afectada. Al examen físico se observaba rodilla con derrame articular, dolorosa a la palpación (especialmente en interlínea interna femorotibial, coincidente con la necrosis), y posición viciosa en flexión. Evitaba la carga de peso por prescripción médica.
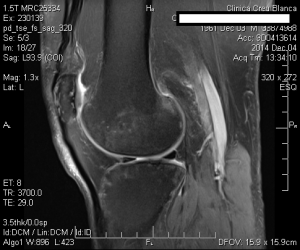
La mejoría sintomática fué casi inmediata y la evolución se hizo evidente en la RM el 4/12/2014, en menos de dos meses de realizado el tratamiento con implantes de oro. El paciente tenía unas perspectivas (según los médicos tratantes) de una baja laboral de muchos meses, con una gran incertidumbre respecto a su futuro laboral, y con un pronóstico incierto de su capacidad laboral.
Fué dado de alta el 31/12/2014 reintegrándose a su actividad laboral habitual (jornada completa en bipedestación y marcha). Realiza controles clínicos periódicos. La evolución es excelente.
A continuacion se observan las imágenes más significativas:






