Desde hace poco más de un año he comenzado a tratar las artrosis (osteoartritis) mediante la colocación de implantes de oro periarticulares. Los pacientes han tenido una evolución excelente, tanto funcional como de la limitación (en unos casos) y de supresión (en la gran mayoría) del dolor. En un alto porcentaje refieren una mejora sintomática inicial, desde el momento de la colocación de los implantes mediante anestesia local, con un período de estabilidad sintomática, y una nueva mejora sintomática que suele aparecer entre el mes y medio y los tres meses que siguen a la implantación, tiempo en el que se inicia el efecto biológico del oro (liberación de nanopartículas de oro que son fagocitadas por las células inflamatorias, inhibiendo localmente su actividad). Lo sorprendente en todos los casos es que la gran mejoría sintomática no se corresponde con cambios anatómicos radiológicos como cabría esperar.
La destrucción del cartílago hialino, con los cambios subsecuentes del hueso subcondral han sido siempre considerados como responsables del dolor articular y de la pérdida de función. Mi padre era médico, especialista en rehabilitación, y en muchas ocasiones, a raíz de la observación de sus pacientes decía que los cambios degenerativos que se observan en las RX muchas veces no pueden corelacionarse con la clínica. Esto es, artrosis incipientes eran muy invalidantes mientras que procesos degenerativos muy avanzados tenían una clínica mucho menos florida. Puede que debamos modificar el paradigma del dolor articular, y centrarnos más en las partes blandas articulares como responsables del dolor. ¿son el realidad la cápsula articular y las estructuras ligamentarias y tejidos blandos que las rodean los responsables del dolor? Las retracciones capsulares, fibrosis, cambios fasciales periarticulares puede que sí lo sean.
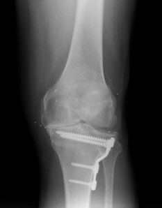
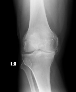
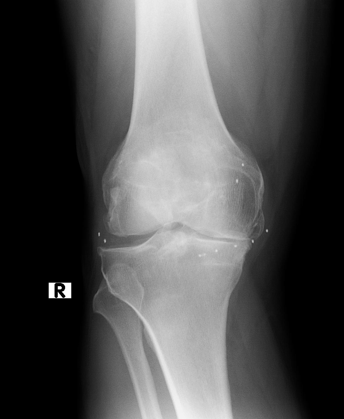
Los implantes de oro actúan a nivel de los tejidos blandos periarticulares. Los cambios funcionales y la desaparición del dolor son muy evidentes, en cambio no se observa cambio radiográfico alguno, al menos en el corto y mediano plazo. A continuación se observa un estudio de RX de un paciente con implantes de oro en ambas rodillas, con un marcado genu varo, y un cambio funcional y de mejora sintomática y de calidad de vida, inesperado incluso para el propio paciente.
Los excelentes resultados de esta técnica animan a seguir con un tratamiento poco agresivo y muy predecible.


