Uno de los paradigmas más repetidos en medicina es el que se refiere a la imposibilidad de recuperación del cartílago articular en la artrosis. El dolor articular crónico de la artrosis se puede presentar en dos modalidades:1. con cambios degenerativos muy objetivables en la exploración radiológica, o 2. por el contrario, con mucha sintomatología (dolor y rigidez por ejemplo) pero sin grandes modificaciones en las RX. En este último caso la mejoría clínica puede valorarse mediante pruebas clínicas y test, pero cuando hay destrucción articular, la evolución clínica favorable puede correlacionarse con los hallazgos en las RX.
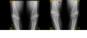
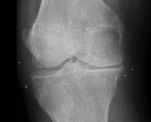
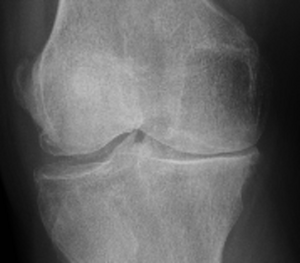
Los implantes de oro periarticulares actúan en las partes blandas de la articulación y es claro el beneficio clínico que se obtiene. Pero hasta ahora no se había objetivado el rol de los implantes a nivel del cartílago hialino en pacientes humanos. A continuación se observan las RX de un paciente octogenario con gonartrosis bilateral y genu varo tras dieciocho (18) meses de colocación de implantes. La buena evolución clínica es paralela a los cambios radiológicos que se observan especialmente en la articulación tibiofemoral interna en donde la degradación cartilaginosa es mayor. Se comparan las radiografías anteriores y posteriores a los implantes, con un aumento significativo de la interlínea articular. 


