La lumbalgia crónica de tipo degenerativo, además de ser un proceso muy frecuente, y de aparición cada vez en edad más temprana, puede comportar una seria incapacidad funcional. El dolor, de carácter nociceptivo (sordo, profundo, de difícil localización, y que puede irradiar a las nalgas y a la cara posterior de los muslos), suele aumentar de intensidad con las cargas mecánicas, esto es, con la estación de pie, la marcha e incluso el estar sentado. Los cambios posturales suelen ser también dolorosos, especialmente durante las primeras horas de la mañana luego del descanso nocturno en decúbito. Los tratamientos medicamentosos a base de AINES y la rehabilitación, en muchas ocasiones no logran disminuir o anular la sintomatología.
El tratamiento con IMPLANTES DE ORO PERIARTICULARES, próximos a las articulaciones interapofisarias parece una alternativa terapéutica muy predecible. Son bien conocidos los efectos del oro en las articulaciones degenerativas, en este caso aplicados a la patología artrósica lumbar.
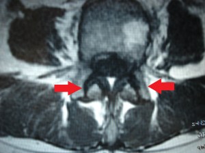
Las imágenes a continuación pertenecen a un caso con una remisión sintomática casi completa y un grado muy alto de satisfacción de la paciente tratada.
En las imágenes de RX y RMN se observan los cambios degenerativos (señalados en rojo las articulaciones interapofisarias artrósicas), también la presencia de múltiples hemangiomas, y las imágenes intraoperatorias de control de los implantes de oro (con flechas).





